Hip Ship Shenanigans

[Week of 6/19: Marathon Season Paused]

Monday:

I hopped a quick jet trip over Lake Michigan to see my Coach for my pesky problem-child hip. There’s something still wrong with it and if anyone can help me get back on track, it is my Coach. I’m always very confident in his assessment and evaluation, since he’s saved my skeleton many times over the years. I’m in desperation mode and doing everything I can: trigger point massage gun, Normatech boots, deep tissue massage, mobility drills, no running, and now active release techniques.

It’s pretty vital to have people on your team that are credentialed in what they do. And really, it’s so important to have people smarter than you to help you! My performance coach is THE best. I’m pretty sure there’s no skeleton squawk that he cannot handle, as an athletic trainer with specialty certifications in strength & conditioning and active release techniques. It’s like every runner’s dream jackpot! Now let’s get this hip ship sailing in the upright position!

Tuesday:

Today was an in-person modified strength session, more hip work with my Coach, a quick reset by Lake Michigan, a jetpack trip back home, and an evening sunset cycle around the neighborhood.

My in-person sessions with my Coach always have some sort of competition at the end. We started this back in 2020 as a joke, but it has turned pretty competitive — and neither of us like to lose. It’s all fun and games, but they make funny highlight reels years later. After all, life is about helping each other to level up!

On my trip back home, I couldn’t help but get lost in my thoughts as I mesmerized over the vastness of Lake Michigan. It’s such a gigantic lake full of beauty and splendor. I love any chance I can to enjoy it, which luckily I snagged an hour of that today. Lake MI just has this calming effect and it’s welcomed! In a world of hustle and bustle, it’s really important to have time to turn off the noise and find our re-centering points.

I landed pretty timely at the airport and scurried up the highway in rush hour traffic. I was greeted at home by an overly excited doggo who was grabbing every toy possible. I was absolutely starving, despite a large brunch, so I quickly made some food and then cycled into sunset for 45min. The hip is feeling better, albeit incredibly slowly— and I’m not a very patient person to begin with. Yikes! This one is going to test me for sure.

Wednesday:

Today was about advocating. Being a healthcare provider means I should know how the healthcare system operates, but it is far from the truth. As a patient, nothing gets done fast. Everything is in slow motion and time ticks by at the slowest pace. As a healthcare team member, I always ask myself “how would I want to be treated” if the roles were reversed.

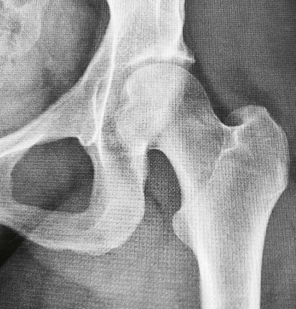
My hip has been gnarly. X-rays are negative, which is expected. Bone stress injuries are insidious in onset but can be detected with prompt imaging and rapid diagnosis. With my known low bone mineral density (2021 and 2022) despite playing ball sports growing up and with my stress fracture history, it’s a complete no brainer for an MRI. After going in circles with my PCP office, I sent a direct email to my PCP with my Coach’s assessment, instead of going through the call center which operates at a snail pace. The good news: Within the same hour, I had an order for an MRI. The bad news: The soonest available scanner time is 1 week away and in the middle of the night. The lesson: Keep advocating, keep being relentless, stay patient. Also, have brilliant people who will help you navigate the healthcare system.

“Self Advocacy: know yourself, know what you need, know how to get it.”

Thursday:

It was an early wake-up day (4:00am) so I could do my morning mobility drills in the dark before rolling on the way to work.

After my shift, it was a beautiful cooler cloudy day to hit up a different park on the commute home. I packed all of my bike gear, fuel, and hydration before sitting in traffic. I did a few warmup drills and was on my way for a solid hour of pedaling solo, taking in different views yet relaxing scenery by a gently flowing river. I’ve been to this park before, but the location is not always convenient, except as part of work commutes. Change can be good if you welcome it openly – change in sport, change in perception, change in location, change in plans, and change in attitude. And who knows! Maybe change is the chance that I need to kick down the door to success.

Once home, my gym sesh went well, although temporarily scaled back until the hip plan of action is more elucidated when the skeleton decides to simmer. With that, I had been awake for 18hrs and it was time to catch some sleep before another long work day.

Saturday:

Before I escaped out the door for work, I managed to hit the bike early for a 60-min ride in my neighborhood. I went early enough but it was already humid. However, I really enjoyed the peace and quiet, rolling around while absolutely blasting my playlist as I did loop-after-loop (6x in case you wondered). My thoughts went to how I rehabbed the hell out of my past stress fractures in 2021, but how I still haven’t reached the type of success I know I’m capable of. I’ve had some decent training blocks, but still not what I know I can do. Yet for some reason, every June, I plummet to the bottom with some skeleton problem. However, the fact is that maybe I needed a break in training life to see a much bigger picture. The idea of more freedom comes at a good time. I can make the most of these next 6 months by rocking rehab life and finding enjoyment in traveling for fun. It stings a bit, but I’ll be ready, refreshed, repaired, and hungry for next year.

Throughout the last few years, one phrase has remained true: “pivot and adapt.” We don’t always choose our circumstances, but it is always up to us to learn from every failed opportunity as a detour to success. Chart a new path, make a new plan, then put the action to each step. Some people take the short way to limited success with lackluster methodologies and that’s what you see on social media. Others take the challenging way filled with obstacles, gritting it out behind the scenes – what you don’t see on social media. I know what road I am on. What about you?

Sunday:

I slept-in until 8am today (which is rare in my life). I woke up with a lack of motivation, but that changed once I fueled up and got out the door around 11am.

On deck today was a 90min cycle ride. I plotted out my path on MapMyRun, greased up my chain, pumped up the tires, and traveled to my starting point. Today was all up to me – a long solo ride from one end to the other and back. Once I sent my GPS tracking to my husband, I started off at the library, headed over the dam, onto the connector trail, into one park, under the expressway, into the second park, past a few lakes, and then stopped for some fuel. I carried my pack today which made drinking while riding so much easier! Once refreshed with Tailwind and Huma, I hit the pedals back up the same way I had just come from. I don’t remember exactly what I thought about but just tidying up some boxes in my brain. Different thoughts go into different boxes and sometimes I need time to process everything. I do remember the smell of fresh pines and it took me to a place of enjoyment. It was a pleasurable ride doing what I wanted and carrying out my chartered plan. These 25 miles just flew on by and I really wanted to keep going, but grocery pickup was waiting for me and I had to wrap it up.

The evening brought about my third strength training session for the week. If I can’t run any miles currently or see another finish line this year, I’m going to crank it up in the gym and lift all the heavy things that I used to not do. I just love blasting the playlist and getting after it in my own world. The bonus is that everyone leaves me alone – no phones beeping, no chit chat about schedules, and no dog persistently dropping his toys at my feet. Speaking of that, it’s time to entertain my wild fur child before unwinding with some easy reading and meditation.

Things I’m looking forward to this week:

  • Some hip solutions, re-strategizing, re-planning, and rehabbing
  • Holiday weekend with low-key plans for local fireworks and ice cream!

“Our greatest glory is not in never failing but in rising up every time we fall.”

Leave a comment